
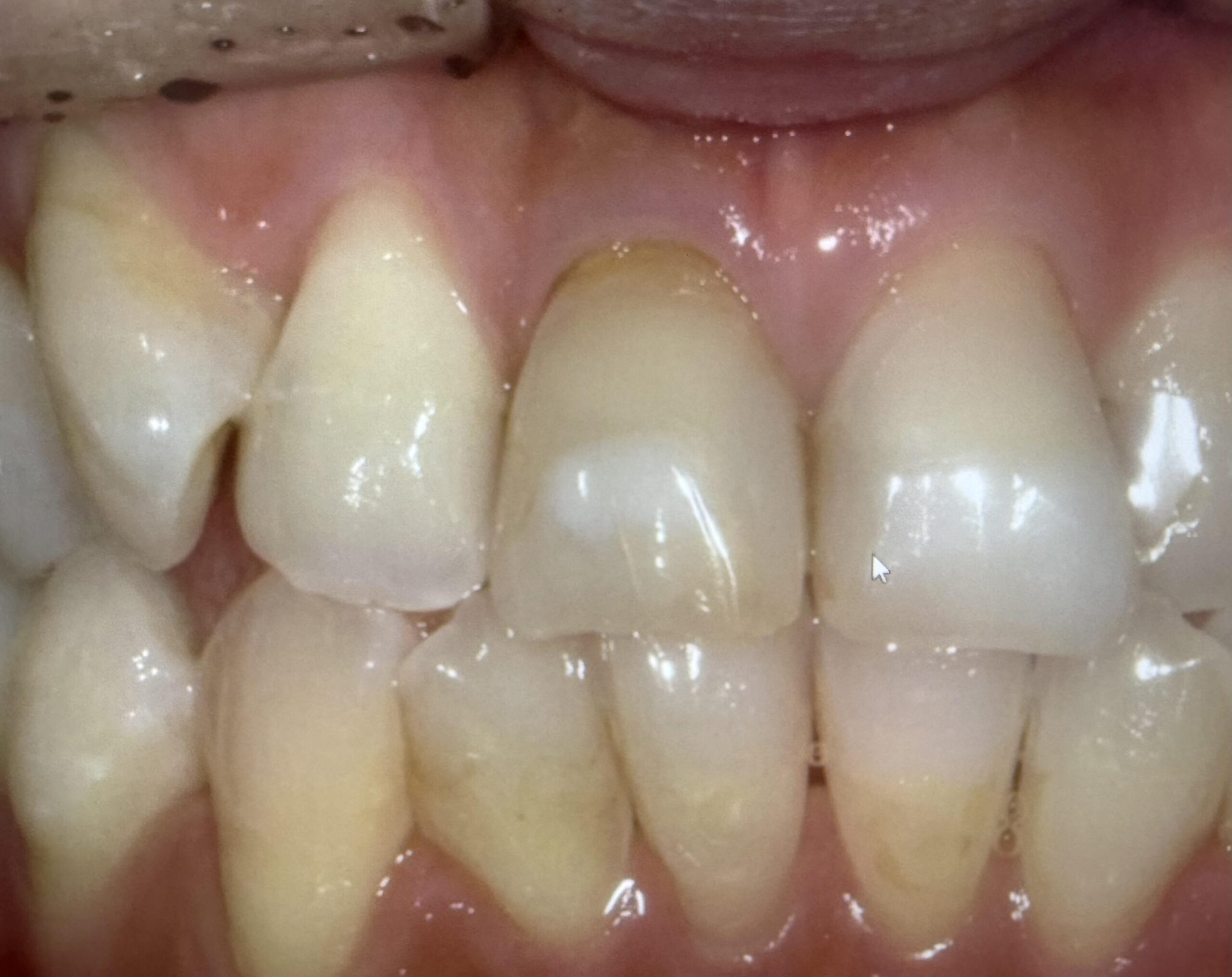
下の歯が上に上がってきている。上の歯が下に降りてきた。
それ、実はよくある現象です。結論からいうと「歯が伸びた」のではなく、噛み合う相手がいなくなって歯が動いてきた状態です。
どうして起こってしまうのか
歯は本来、上下で噛み合うことで位置が安定しています。バランスを保っているのです。
しかし、片方の歯が抜けたまま放置すると…
噛み合う相手がなくなる
→ 歯がそのスペースに向かって動く
この現象は歯科では挺出(ていしゅつ)と呼ばれます。
一番後ろの7番目の歯が抜きっぱなしになっているケースは特に多く感じます。
虫歯や、脱離で上の部分がなくなり、根っこだけが残っている場合も同様のことが言えます。
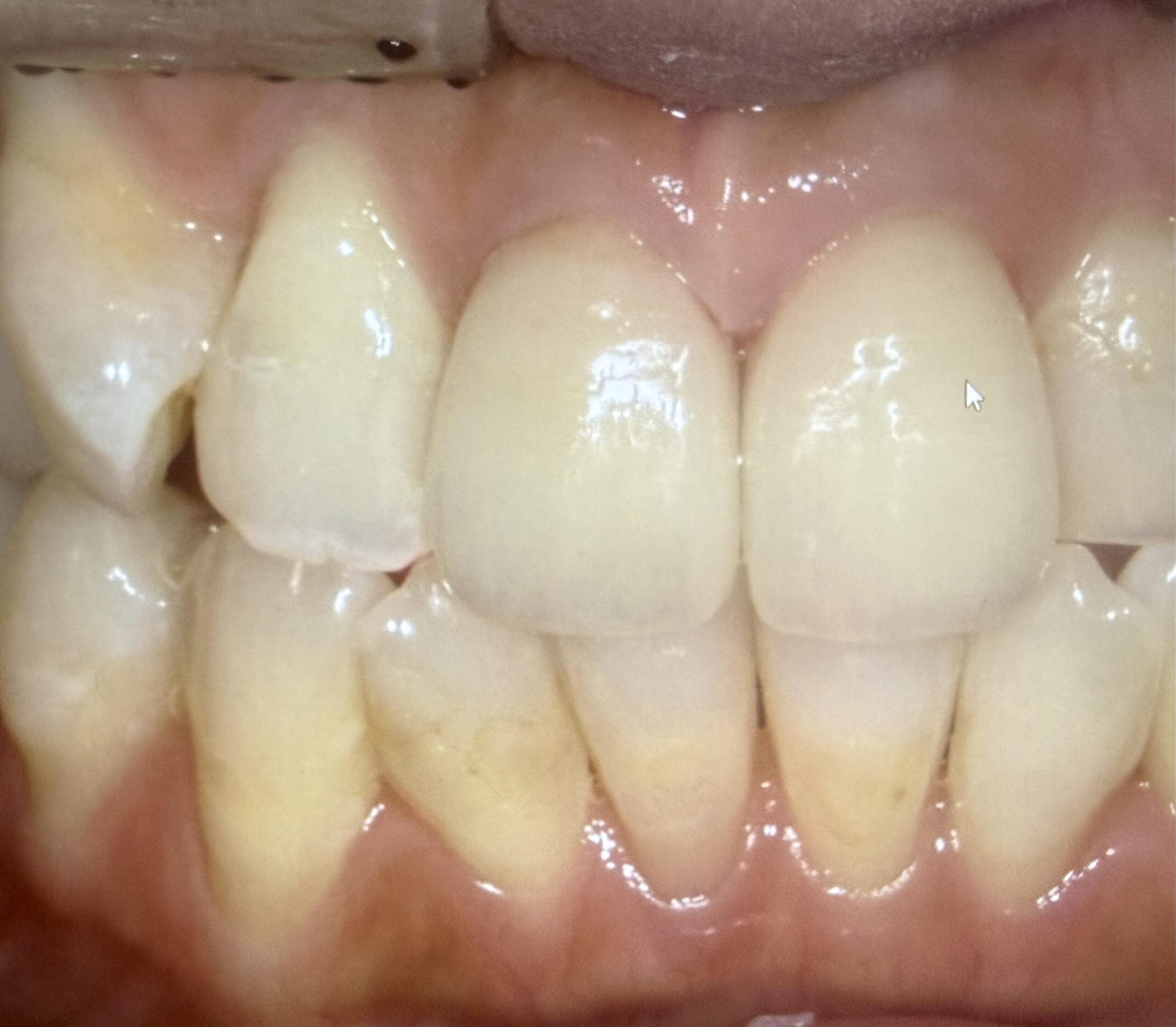
抜きっぱなしになっているとどうなっていくか…
放置すると、次のようなトラブルが出やすいです。
・噛み合わせがズレる
・食べ物が詰まりやすくなる
・歯周病・虫歯リスクが上がる
・将来的に治療が難しくなる(ブリッジ、インプラントや入れ歯などの設計が出来ない可能性)
・噛み合わせのズレから起こる顎の痛み
予防には…
早めの対応が大切です。
歯を失ったときに行う主な選択肢は、
・ブリッジ
・入れ歯
・インプラント
・必要に応じて矯正(伸びた歯を元に戻す)
などがあります。
「1本くらい大丈夫」と思って放置すると、周りの歯まで巻き込んで悪くなってしまいます。
当院では一人一人の状態に合わせてオーダーメイドの治療計画を作成し、説明するカウンセリングの時間を設けています。不安なこと、分からないことは一緒に相談できたらと考えております。お気軽にご相談ください。
お知らせ
令和8年4月より午後の診療時間が変更になりました。
月曜日、水曜日 14時30分から18時30分
火曜日、金曜日 14時30分から17時30分
土曜日 14時から16時30分
午前の診療時間は変わりありません。ご迷惑をおかけしますがよろしくお願いいたします。























054-340-6480
24時間WEB予約(新規の患者様)
医院情報